AGE 30-39
GENDER Male
Procedure Details
FP1 Dental Implants Smile Gallery in Tri-Cities WA
FP1 Dental Implants for Natural-Looking Full Arch Restoration
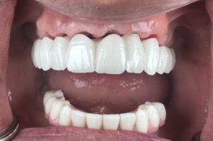
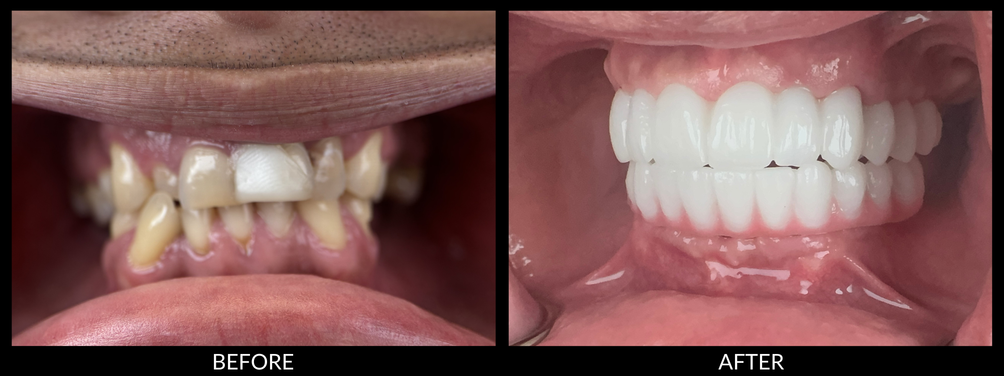
Dental implants offer a conservative and highly aesthetic solution for patients who want full arch restoration without artificial gum material. This smile gallery highlights real patient cases completed at Crown Dental in Tri-Cities, WA. Each case demonstrates how careful planning and precise implant placement can create results that closely resemble natural teeth emerging from healthy gum tissue.
Unlike bulkier full arch options, this approach focuses on replacing teeth only when sufficient bone support remains. Patients who qualify often achieve a seamless transition between restoration and natural tissue, resulting in a smile that appears balanced and proportionate.

Precision Planning for FP1 Dental Implants
Successful outcomes depend on advanced diagnostics and surgical accuracy. Dr. Cantu uses 3D imaging and digital treatment planning to evaluate bone volume, bite alignment, and facial structure before recommending care. Proper implant positioning allows the restoration to support individual crowns or a refined fixed bridge while maintaining long-term stability.
Because dental implants require adequate bone levels, proper case selection plays a critical role. Patients with minimal gum recession and strong jaw support often benefit most from this conservative solution. The goal is to preserve natural anatomy while delivering strength, durability, and aesthetic harmony.
Conservative Full Arch Implant Care in Tri-Cities WA
At Crown Dental, Dr. Cantu performs both the surgical and restorative phases in one location to ensure continuity and precision. This streamlined process improves coordination and enhances overall outcomes. Patients from West Richland, Kennewick, Pasco, and surrounding Washington communities choose FP1 dental implants when they want fixed teeth that look natural and feel secure.
Each smile in this gallery reflects individualized planning focused on function, esthetics, and long-term performance. Reviewing these real results can help you determine whether this conservative implant approach aligns with your goals for a healthier bite and renewed confidence.